Фотогалерея

 

Дорогие друзья здесь на нашем сайте вы можете познакомится с нашей уютной и дружелюбной клиникой. Посмотреть кабинеты, наше современное оборудование, материалы с которыми мы работаем. Ознакомится с нашим персоналом. Увидеть фотографии до и после лечения, а так же в процессе лечения (конечно же с согласия наших клиентов). 
Первое мнение каждого человека зависит от входа и холла, в какое либо помещение. И наша клиника этому не исключение. Для этого мы постарались сделать наиболее благоприятную обстановку в помещении, чтоб пациентам было комфортно и уютно. Чтоб они ждали свое время процедуры не в стрессовой ситуации. Если пациент пришел раньше своего часа, его всегда вежливо встретит администратор за ресепшином, заполнит карточку, предложит горячую чашку чая или кофе.
Холл (фойе)
Имя Отчество

Кабинет № 1.

 

В  этом кабинете врачи ведут терапевтический и ортопедический прием. В кабинете стоит одна установка и все необходимое оборудование для терапевтического приема.

В терапию входит лечение кариеса, пульпитов, периодонтитов, реставрации, проф.чистки и т.д.

 

 Кабинеты
Хирургия

Кабинет № 2.

 

Хирургический кабинет.

Ведут хирургический прием: удание зубов простые и сложные, имплантация, подсадка костной ткани, синус лифтинг.

Фото главного врача Тофига Яшаровича с пациентокой Анной. 

Наши пациенты самые красивые.

рНаши работы
Полный съемный протез на двух имплантах.

Металлокерамический мост

Япония.

Металлокерамический мостовидный протез 
Немного о клинике.
Во время приема пациент должен полностью доверить свое здоровье и здоровье своих зубов врачу.
Профессиональная чистка зубов ( трехэтапное удаление зубных отложений)
Реставрация скола зуба 21. Tokoyama EsteLite Япония.
Установлены 2 импланта Straumann (Пр. Швейцария).
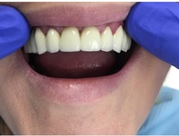
Безметалловая керамика диоксид циркония, исправление дизайна улыбки и цвета. (Германия)

⁠Реставрация скола зуба 21. Tokoyama EsteLite Япония.

Металлокерамическая коронка на импланте Implantium (Пр. Корея).
                        Г.Новосибирск, ул Танковая 39